Definition and What are they ?
Supernumerary teeth or hyperdontia are extra teeth that are not supposed to be there.
These teeth are outside the normal number and position of dentition. It may be single or multiple, unilateral or bilateral, erupted or impacted, and morphologically normal or malformed. One or two supernumeraries occur in 90% of the cases while multiple supernumerary teeth occur in 10%. Their appearance may be isolated or associated with abnormalities and syndromes [1, 2].
Photos

Picture 1: Supernumerary teeth behind the central incisors.
Image Source: supernumeraryteeth.com

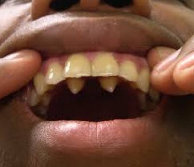
Picture 2: Supernumerary teeth on lateral incisors.
Image Source: supernumeraryteeth.com

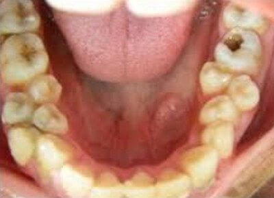
Picture 3: Supernumerary teeth on the lower jaw.
Image Source: drsteakley.com

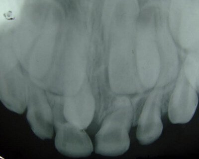
Picture 4: Dental X-ray of Supernumerary Teeth
Image Source: wikipedia.org

Picture 5: Multiple Supernumerary Teeth on Orthopantomograph
Image Source: intelligentdental.com
Supernumerary Teeth Numbering
There are different systems around the world that the dentists and orthodontists use in numbering the teeth. Different dentists may use different dental charts.
What is going to be presented in this article is the one that is proposed to be the standard in numbering supernumerary teeth. Refer to the chart below.

Picture 6: Supernumerary Teeth Numbering Chart
Image Source: supernumeraryteeth.com
Before you learn how to number supernumerary teeth, you have to know how to number permanent teeth.
As you notice in the chart, each quadrant normally contains 8 teeth. The counting starts on the upper right quadrant from right going left until the 16 permanent teeth are counted. Continue counting the lower teeth going left to right, i.e. from 17 to 32. 32 is the total number of normal permanent teeth.
For supernumerary teeth, it is easy. Just add 50 to all those numbers [3].
Classification of Hyperdontia
Diagnosis for supernumerary teeth can be done clinically or radiographically. Classification is based on the form and location of extra tooth or teeth.
According to Shape
Conical supernumerary teeth are the most common in patients who have already developed permanent teeth. They have a normal root. It usually appears as a mesiodens, meaning they are associated with the central incisors. They may cause displacement of the maxillary central incisors.

Picture 7: Conical Supernumerary Tooth
Image Source: toothfulness.blogspot.com
Tuberculate supernumerary teeth resemble the shape of a barrel and they are mostly invaginated. They have abnormal roots and they seldom erupt. They are located on the palatal area of the central incisors and sometimes, its presence delays the eruption of the incisors.

Picture 8: Tuberculate Supernumerary Teeth
Image Source: identalhub.com
Supplemental supernumerary teeth are the most common in primary dentition. They almost always erupt. They appear along with the continuity of the alveolar line. The most common location is lateral incisors.

Picture 9: Supplemental Supernumerary Tooth
Image Source: askanorthodontist.com
Odontome or composite odontoma is the category which is not widely accepted by dentists as a classification of supernumerary teeth because the term depicts a tumor. The mass consists of different types of tissues. There are two subcategories. The first one is complex composite odontoma wherein the dental tissue is not organized. The second one is compound composite odontoma which externally resembles a normal tooth.

Picture 10: Odontome or Composite Odontoma
Image Source: orthocj.com
Molariform supernumerary teeth have a complete root and they resemble the shape of premolars [rajendran, saraf].

Picture 11: Molariform Supernumerary Teeth
Image Source: ijds.in
According to Location
- Mesiodens: The supernumerary teeth are located on the upper central incisors. They may be single or multiple, unilateral or bilateral, impacted or erupted, and inverted, horizontal, or vertical.
- Paramolar supernumeraries are located on the lingual or buccal aspects of the maxillary molars.
- Dislomolar supernumeraries are located on the distal aspect of the 3rd molar [1].
Causes and Prevalence of Supernumerary Teeth
- The prevalence is 0.15-3.9% of the entire population.
- The etiology of supernumerary teeth is not entirely clear.
- It was observed that supernumerary teeth may be hereditary though there is no Mendelian pattern for this.
- Males develop it twice more than females.
- There is a theory saying that supernumerary tooth either comes from a third tooth bud of the dental lamina or chinking of the permanent tooth bud itself.
- Hyperactivity theory states that supernumerary teeth are caused by overactive dental lamina.
- The most common conditions associated with supernumerary teeth are cleft lip and palate, Gardner syndrome, and cleidocranial dysplasia.
22.2% of patients with cleft lip and/or palate develop supernumerary teeth on the affected area. - Gardner syndrome includes multiple impacted supernumerary teeth as one of the manifestations.
- The risk for developing supernumerary teeth in patients with cleidocranial dysplasia is 22% in maxillary incisor area and 5% in molar area [1, 4].
Problems associated with Hyperdontia
Removal of the supernumerary teeth is ideal for patients with:
- Delayed or failed eruption of permanent tooth
- Rotation, malalignment, or displacement of permanent tooth
- Diastema or early closure of space in between the teeth
- Dilacerations
- Crowding of teeth
- Formation of dentigerous cyst
- Eruption of teeth into the nasal cavity
- Problems in implant site for alveolar bone grafting [1]
Treatment for Hyperdontia (Supernumerary Teeth)
The appearance of supernumerary teeth cannot be prevented. The main treatment for hyperdontia is its removal.
However, the classification of the supernumerary teeth along with the condition of the surrounding teeth should be taken into consideration. The treatment should do more good than bad. If the treatment will cause problems on the adjacent teeth, better not do the supernumerary teeth extraction if the risks outweigh the benefits.
Its removal may solve the problem but if you are not having any troubles with your hyperdontia, you better leave it as it is to avoid complications of supernumerary teeth extraction such as severed blood vessel and nerve, maleruption, ankylosis, fractured maxillary tuberosity, and compromised maxillary sinus and pterygomaxillary space [2, 5].
Also see : Frequently Asked Questions About Teeth and Dental Health
References:
- Saraf S, Textbook of Oral Pathology, Jaypee Brothers Publishers, 2008, pp 39-40
- Stevenson RE & Hall JG, Human Malformations and Related Anomalies, Oxford University Press, 2005, p 444
- How to Number Supernumerary Teeth accessed on http://supernumeraryteeth.com/how-to-number-supernumerary-teeth/
- Rajendran R, Shafer’s Textbook of Oral Pathology 6th edition, Elsevier India, 2009, p 47
- Parolia A et al, Management of supernumerary teeth, Journal of Conservative Dentistry, 2011 Jul-Sep; 14(3): 221–224 accessed on http://www.ncbi.nlm.nih.gov/pmc/articles/PMC3198547/
