Definition: What is Lipoma?
The human skin is made up of different layers. Just beneath the skin lies the subcutaneous adipose tissue.
A lipoma is a growth of these tissues in a capsule form. It grows slowly between the skin and the muscle layer. Lipoma is a noncancerous (benign) tumor does not grow larger. It is a harmless fat lump that moves when given a pressure.
Applying a gentle pressure on capsulized fat is one of the diagnosing techniques to identify lipoma and differentiate it from the malignant tumor, which is quite firm and immovable. Generally, lipoma does not cause any pain unless surrounded by the blood vessels (which is called as angiolipoma).
Symptoms of Lipoma
Though they can occur at any site of the body, lipomas are generally found on neck, back, arms, shoulder and chest. Men are more likely to develop lipoma as compared to women. In most of the cases, lipoma does not show any symptom. However, some of the features of lipoma are mentioned here.
- Lipoma is found just underneath the skin
- They are soft and doughy to touch
- They are generally small (0.4 in to 1.2in) but can grow to a bigger size
- They are rarely painful unless surrounded by the blood vessels and have grown on the sites of nerves
- They are movable and have rubbery consistency
Lipoma Causes
The causes of lipoma are unknown and thus they are idiopathic. However, some group of health experts believes that there could be a link between genes (genetic factors) and lipoma. This is because lipoma are observed run in families. In addition, injuries (like a blow) to the body may also contributing in causing lipoma.
Who are at risk of developing Lipoma?
Lipoma can occur to anyone at any place on the body. However, below mentioned factors can be considered as risks of developing these benign tumors.
- Individuals aging 40+ are more susceptible to develop lipoma. Typically, lipoma occurs more between the ages of 40 to 60
- Presence of certain health ailments may increase the chances of having lipoma. For instance, adiposis dolorosa, Bannayn-Riley-Ruvalcaba syndrome, Cowden syndrome, Madelung syndrome and Gardener syndrome are few of conditions where developing lipoma is quite frequent.
How should you take the growth of Lipoma?
In most of the cases, lipoma can rarely cause a medical emergency. Nevertheless, it is always better to see your healthcare provider if you observe that a lump is growing faster.
Types of Lipoma
There are several types of lipoma described in various medical texts.
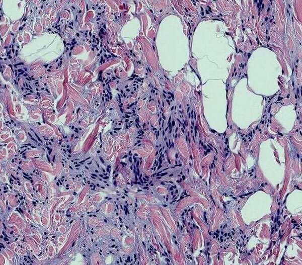
Angiolipoleiomyoma
This type of lipoma involves connective tissues and blood vessels along with fats.
Angiolipoma
This type of lipoma causes a lot of pain and has typical symptom of a lipoma.
Neural fibrolipoma
A special type of lipoma that pressurizes the nerves.
Intradermal spindle cell Lipoma
This type of lipoma generally affects women and its usual sites of occurrence are neck, head and trunk.
Spindle cell lipoma
Spindle cell lipoma is more frequently seen in men and is usually located at back, neck and shoulders.
Chondroid lipoma
They are yellowish in color and mostly seen in women. Their usual site is legs, and they are deep seated.
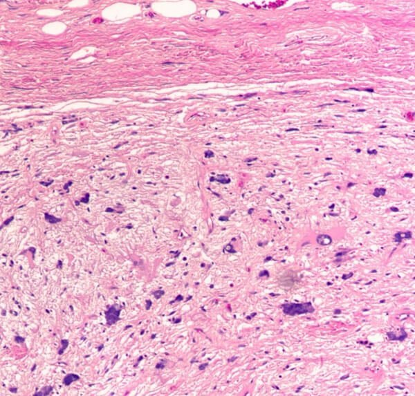
Pleomorphic lipoma
They are a special type of spindle cell lipoma and mostly seen in old men. They are identified by floret giant cells.
Hibernoma
Lipoma of this type is a tumor of fat tissue or adipose tissue.
Lipoma Pictures
Picture 1 : Lipoma image
Picture 2 : Angiolipoleiomyoma
Image source : springer images
Picture 3 : Intradermal spindle cell lipoma
Image source : surgicalpathologyatlas.com
Picture 4 : Lipoma
Picture 5 : Lipoma on the back (photo)
Picture 6 : Pleomorphic Lipoma
Image source : surgicalpathologyatlas.com
Picture 7 : Slip sign positive (to differentiate Lipoma and Cyst) : note – lipoma slips
Lipoma Diagnosis
The patient is presented with the complaint of unusual growth beneath skin. This growth has been present since several years, and the size of the lump draws attention of the sufferer. Depending upon the size, site and type, the lump might or might not be associated with pain.
The common most technique carried out to diagnose lipoma is palpation. The physical exam includes palpating the structure and trying to move it. Most subcutaneous lipomas are rounded and have 2-10 cm. of diameter. On touch, they are rubbery, mobile and smooth.
There are no specific tests available to diagnose lipoma. The diagnose is mainly based on patient’s complaints and physical examination. In case, the healthcare provider suspects the lump to be malignant, a FNA (Fine Needle Aspiration) biopsy is advised. CT scan or MRI could be performed to help differentiate it from liposarcoma.
Lipoma Treatment and Removal
Lipoma does not normally require any treatment. Since they are non-cancerous and not painful, it is not always necessary to remove them surgically. There is no specific treatment available to dissolve them. Nevertheless, the condition may require surgery as an option to treat if…
- Lipoma becomes tender or severely painful
- It gets inflamed
- It catches some infection and becomes infectious
- Starts collecting foul-smelling fluid and discharges it
- Interferes with organ function or movement
- Unusually increases in size
Treatment of lipoma includes two main options:
The treatment of lipoma is mainly classified into two categories: the surgical removal of lipoma and liposuction.
The surgical excision is advised depending on the location of lipoma. Most of the incisions do not include complexities and require minor surgery. However, if lipoma is deep seated and infectious, the operation requires skillful hands.
The suction of lipoma can be done using liposuction. It is performed to remove larger quantities of fats from underneath the skin. This procedure is also a common practice to excise single fatty tumor. The procedure of liposuction involves sucking out the fats through a strong suction rigid tube under local anesthesia.
Home or Natural Remedies
The individuals with minor (small sized) lipoma may prefer natural or homemade remedies to treat lipomas. There are several natural cures available for this. Let us look some of the known ones…
- Chickweed tincture is said to be one of the most effective home remedies for lipoma. The recommended dose is 1 tsp. thrice a day. The therapy can be augmented by applying chickweed ointment that is directly rubbed onto the affected site. Herbal doctors recommend once a day application of ointment for better results.
- Bitter herbs such as Neem (Indian Margosa tree) leaves help digest the fats. The bitter herbs are likely to stimulate the metabolism in the gallbladder and liver and thus help dissolve lipomas. Wormwood, dandelion greens, olive, and citrus peel are few of the herbs that can be used.
- Lemon juice is another good kitchen remedy to alleviate the symptom of lipoma. Lemon juice helps eliminate toxins from the circulatory system and purify the liver cells’.
Lipoma Prevention
There are no specific preventive measures to avoid lipomas.
Lipoma Prognosis
No mortality or serious problems have been reported after removal of subcutaneous lipoma. Some practitioners prefer steroid injections that can shrink the size of lipoma significantly (up to 75%). The chances of recurrence of subcutaneous lipoma at the same site are less than 5%, whereas it is less than 20% for intramuscular.
See about : Lipolysis







