We hear a lot of types of erythema – erythema marginatum, erythema multiforme, erythema nodosum, erythema this, erythema that.
One of these is actually associated with rheumatic fever. How do we know which of these might be a symptom of an illness that leads to a rheumatic heart disease? In this article, you will be able to understand how a skin problem becomes a major criteria in rheumatic fever, along with pertinent information with this type of skin rash.
Erythema Marginatum Definition
If you have a background on the medical field, you would know that the jargons “erythema” means red and “marginatum” is the Latinized form of the word “margin”. So basically, erythema marginatum is a skin redness or rash wherein its margins are easily visible because these are elevated [1].
Erythema marginatum is a type of annular erythema. It has reddened, elevated edges and the center is flat and clear. These can be seen on the trunk and proximal extremities. The face, palms of the hands, and soles of the feet are unaffected in most cases. It often goes ignored because it is not painful nor it is itchy [2]. It is just there and let you feel nothing.
Erythema Marginatum Pictures
Picture 1: Erythema Marginatum of Rheumatic Fever
Image Source: Fitzpatrick’s Dermatology in General Medicine
Picture 2: Erythema marginatum is a skin condition that comes and goes periodically and may stay on your skin for months.
Image Source: www.hxbenefit.com

Picture 3: Erythema marginatum is a major criterion in the diagnosis of rheumatic fever but it is not always present.
Image Source: American College of Rheumatology
Causes of Erythema Marginatum
Erythema marginatum may be idiopathic or may be caused by an underlying condition. The reddened areas are due to the inflammation of the blood vessels resulting from accumulation of white blood cells particularly of lymphocytes. Since there is an inflammation, it shows up to the skin surface as a rash.
Among the possible causes, rheumatic fever is on top of the list. Rheumatic fever is an autoimmune disease caused by group A streptococcal bacterial infection. Erythema marginatum is included in the major Jones’ criteria which is definitive of rheumatic fever.
Picture 4: Jones’ Criteria for the Diagnosis of Rheumatic Fever.
Image Source: ebmedicine.net
Heat triggers its occurrence [1]. This may be the explanation why they begin to appear around two to three weeks after the onset of fever. It starts appearing on the trunk then it spreads peripherally towards the extremities. It may cover the entire body except for the face, palms, and soles. The length of time that it stays with you is not definite. It may take weeks, months, or even years. It comes and goes. It fades away on its own and may come back again after weeks or months. They measure approximately 0.5 to 2 centimeters in diameter [3].
Other possible causes of erythema marginatum include:
- Lyme disease
- Allergy (most common are blue cheese and tomatoes)
- Infection (Candida albicans, Ascaris lumbricoides, Escherichia coli)
- Drugs (penicillin, cimetidine, chloroquine)
- Malignancy (especially leukemia, breast cancer, squamous cell carcinoma, and lymphoma)
- Pregnancy
Types and Incidences
The two types of erythema marginatum are erythema marginatum rheumaticum and erythema marginatum perstans [4].
The first type, erythema marginatum rheumaticum, is the one that was just discussed. This is the type which is associated with rheumatic fever. It occurs only in the superficial areas of trunks and extremities. This is the asymptomatic type.
Erythema marginatum perstans occurs in the superficial and deep areas of the skin in the different parts of the body except for the palms and soles.
In some countries like the Great Britain, rheumatic fever is rare so British doctors in general practice may not have seen a case. In developed countries, the appearance of erythema marginatum is seldom seen even if it is one of the major criteria in the diagnosis of rheumatic fever. In numbers, this is so uncommon its occurrence can only be seen in 2-3% of rheumatic fever cases [3].
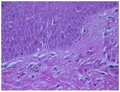
Histopathology of Erythema Marginatum
Picture 5: Histologic Features of Erythema Marginatum
Image Source: dxpath.com
In the image above, neutrophilic infiltrates are predominant with nuclear dust. Neutrophils are also present in the dermal papillae. There are dyskeratotic keratinocytes all over. There is no fibrinoid degeneration of blood vessel walls [5].
Superficially, there are perivascular infiltrates of white blood cells particularly the lymphocytes and neutrophils [6]. Presence of this causes inflammation of the blood vessels results to the reddened appearance of the skin.
Differential Diagnosis of Erythema Marginatum
Subcutaneous nodule, which is also one of the Jones’ criteria, is seen over the bony prominences and not on the trunk and proximal extremities. Moreover, it occurs on the later part of rheumatic fever. Erythema marginatum occurs on the early onset along with the carditis. It even occurs earlier than the polyarthritis [7].
Erythema marginatum may look like urticaria but there is no itchiness [3]. Both may have perivascular neutrophils but urticaria presents with dermal edema. Erythema marginatum only has lymphocytes and neutrophils as infiltrates while urticaria has both, plus eosinophils [8].
The biopsy result of erythema marginatum is not definitive or specific to it because its histological features may be similar to that of acute lupus erythematosus and Still’s disease. Leukocystoclastic vasculitis is ruled out if vascular damage is present. If the cause is suspected to be of infectious origin, consider stains and cultures. [8]
Erythema Marginatum vs. Erythema Migrans
Erythema migrans looks like erythema marginatum except for its central portion which has a bull’s eye presentation. Erythema marginatum spreads throughout the body while erythema migrans expands on a localized part. Erythema marginatum is seen in patients with rheumatic fever. Erythema migrans is common among patients with Lyme’s disease [9].


Pictures : Erythema Migrans
Images Source: wikipedia.org
Complications
If we are talking about the erythema marginatum itself, it presents no serious complications even though it may persist for months or even years. But if we are talking about the diseases that cause it, then we may be seeing a whole lot of complications.
Erythema marginatum is not a disease in its own sense. It has no complications.
Treatment of Erythema Marginatum
Erythema marginatum does not require any treatment because it goes away on its own. The patient does not even feel anything while having it. It may even go unnoticed. There are no drug prescriptions for this.
What needs treatment regimens are the conditions that cause erythema marginatum in the first place. If you want erythema marginatum to go away, get rid of what causes it. Once the condition is treated completely, erythema marginatum goes away with it.
References
- http://www.rightdiagnosis.com/e/erythema_marginatum/intro.htm
- http://www.dermnetnz.org/bacterial/rheumatic-fever.html
- http://www.patient.co.uk/doctor/Erythema-Marginatum.htm
- http://byebyedoctor.com/erythema-marginatum/
- http://www.dxpath.com/histlib/erythema-marginatum-histopathology-20831.html
- Wolff K, et. al., Fitzpatrick’s Dermatology in General Medicine 7th edition, McGraw-Hill 2008, p. 1574
- James WD, et. al., Andrews’ Diseases of the Skin Clinical Dermatology 10th edition, Elsevier 2006, p. 262
- Calonje E, et. al., McKee’s Pathology of the Skin 4th edition, Elsevier 2011
- Melnychuk I & Busby W, Rash and Fever in a College Student, American Family Physician 2011 accessed on http://www.aafp.org/afp/2011/0915/p697.html
